(21) 2608-1049 / 97291-5946
(21) 2608-1049 / 97291-5946
Faça seu implante dentário com um dos
melhores profissionais da região.
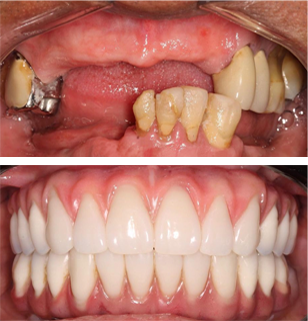
Tenha um sorriso tão bonito e natural quanto o de qualquer outra pessoa
Veja quem pode se beneficiar do Implante Dentário
O paciente que perdeu algum dente por cárie, trauma ou qualquer outro problema pode se beneficiar do implante dentário.
O implante é a melhor solução do mercado para devolver a função e a estética do seu sorriso, garantindo:
Naturalidade
Função mastigatória
Saúde bucal
Alguns desses problemas fazem parte da sua rotina?
1 - Desencaixe da prótese móvel
Você já sentiu que sua prótese móvel se soltou da arcada dentária em um momento inoportuno?
2 - Dificuldade de comer alimentos mais rígidos
Pela falta de um ou mais dentes, ou pela utilização de uma prótese móvel, o paciente muitas vezes tem dificuldade de comer aquele alimento de que tanto gosta pela dificuldade de mastigação, ou porque a prótese machuca e não oferece firmeza.
3 - Vergonha de sorrir
Sorrir é fundamental para que o dia seja completo, mas e se o medo de passar vergonha for maior do que a vontade de sorrir?
4 - Perda Óssea
Na falta de um ou mais dentes, o osso presente na região afetada pode ser reabsorvido, resultando em uma perda óssea.
Se algum desses problemas faz parte do seu dia-a-dia, saiba que
E o melhor:
O procedimento devolve ao paciente a capacidade de utilizar todos os dentes durante a mastigação, voltando a ter uma alimentação eficiente, assim como ele tinha com seus dentes naturais. OBS: os dentes não são de titânio, mas de porcelana.
A cirurgia para instalação de implante é um procedimento simples e rápido, sendo assim muito seguro. Ela é feita sob anestesia local, desta forma o paciente não irá sentir nenhuma dor e se sentirá confortável durante todo o procedimento.
O implante dentário tem uma taxa muito alta de sucesso, cerca de 98%. Inclusive, a durabilidade desses implantes é altíssima, podendo acompanhar o paciente por toda a vida.
A recuperação do implante dentário costuma ser muito rápida: em pouco tempo o paciente volta a fazer as suas atividades normais. Além disso, um dos maiores benefícios dessa técnica é a preservação da estrutura óssea, de forma que se ainda houver algum dente natural na boca, ele poderá ser preservado com mais segurança.
Uma das principais vantagens, e mais desejadas, do implante dentário é a melhora da estética geral da boca. A transformação do sorriso muda toda a aparência do rosto e faz muita diferença para a autoestima do paciente.
Conte com um dos melhores cirurgiões da região
Avaliações 5 estrelas no Google por pacientes do Dr. Bruno
"Atendimento maravilhoso em todo consultório. Tudo organizado e higienizado. Dr. Bruno muito calmo, detalhista e que explica tudo para não ficar duvidas. Excelente profissional!! Família toda adora!!"
“Recomendo!!! Ótimo profissional!!! Muito educado e atencioso nos esclarecimentos, o que me deu segurança para o procedimento da minha mãe. No momento de pandemia observa-se atenção com todos os cuidados a Kelly, secretária, não poderia ser diferente, muito simpática e educada. E o consultório em uma ótima localização na região oceânica de Niterói.”
“O Dr. Bruno é ótimo ser humano e profissional, cuida de todos aqui e somos no total de 4 crianças e 2 adultos ....a Kelly, sua secretária , também é ótima e sempre disponível. Foi a minha filha mais velha, quem começou um tratamento ortodôntico e a familia toda foi junta!! Estão de parabens!!”
“Gosto muito do Dr. Bruno profissional qualificado. Em tempos de pandemia tudo funcionando conforme os protocolos exigidos. A equipe toda merece "Parabéns" são atenciosos e eficientes.”
"Clínica moderna , muito bem equipada. Profissional capacitado e muito atencioso . Melhor dentista em Niterói!!"
"Dr Bruno é diferenciado! Excelente dentista! Competente, atualizado, comprometido, sério e zeloso com seus pacientes! Cuida e dá assistência. Na família tratamos com ele e não trocamos!"











Preencha o formulário, tire suas dúvidas e solicite um orçamento.